
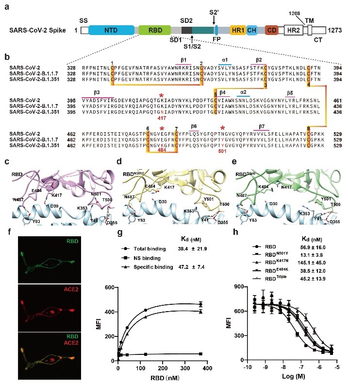
新型冠状病毒肺炎(COVID-19)在过去两年时间里在全世界蔓延,目前超过2亿人次被感染,四百多万人因此失去生命,给人类社会造成了巨大的损失和危害。而新冠病毒(SARS-CoV-2)是导致该疾病的主要病原体。作为一种单链RNA病毒,相对于其他病毒SARS-CoV-2具有突变速度快的特征。因此近期各地出现的多种不同的新冠病毒变异株让疫情雪上加霜。为了抵抗病毒和保护人类,广大的科研和医务工作者付出了巨大的努力研究新冠病毒的传播机制和感染特点,并致力于开发相应的病毒快速检测、防控和免疫治疗等方法。目前已知新冠病毒感染人体的第一步是由该病毒刺突蛋白Spike的受体结合域(Receptor-binding domain, RBD)与人类血管紧张素转换酶2 (Angiotensin-converting enzyme 2, ACE2) 之间,通过氨基酸的非共价相互作用结合导致。因此RBD结构上的氨基酸种类决定其黏附人体受体细胞的强度和能力。而近期出现的多种具有更强传染性和潜在危害的新冠变异株在RBD区域都出现了多种氨基酸突变。例如在变异株Alpha(B.1.1.7)、Beta(B.1.351)和Gamma(P.1)刺突蛋白RBD区域都出现了N501Y氨基酸的突变,因此该突变可能是导致病毒对人类具有更强传染性的原因之一。
针对新冠病毒,特别是新冠病毒变异株感染人体的分子机制和变化,凯发k8官网化学化工学院郑鹏教授与生命科学学院董咸池教授和童贝老师合作,利用单细胞力谱技术(Single-cell Force Spectroscopy, SCFS)、分子动力学模拟和经典的蛋白结合动力学测量技术,进行了实验和理论相结合、多学科的交叉科学研究工作。通过定量测量二者间的相互作用和在原子水平的分子动力学模拟分析该过程,发现RBD结构域上的N501Y突变导致这些变异株具有更强结合人体受体蛋白ACE2的能力,极大的提高了病毒黏附细胞的强度和概率,可能是导致这几类新冠变异株病毒在最近一年广为扩散的重要原因之一。值得一提的是,该研究成果被八月份刚出版的世界卫生组织(WHO)新冠变异株监控报告所引用,作为介绍该突变影响的重要参考文献之一(https://apps.who.int/iris/handle/10665/343775)。

图1. 经典的荧光定量检测方法揭示N501Y突变与ACE2具有较高的结合亲和力
在文章中作者首先通过经典的表面等离子体共振(SPR)和荧光激活细胞扫描检测发现,Alpha变体的N501Y突变与细胞表面ACE2的结合亲和力约为野生型RBD蛋白的4倍,而Beta型的三突变(N501Y、K417N和E484K)RBD蛋白与野生型的亲和力相似,且单个的K417N和E484K突变也表现出略弱或相似的亲和力。基于以上表明,N501Y的突变是RBD蛋白结合ACE2具有较高结合亲和力的关键氨基酸之一。

图2. 单细胞力谱实验定量测量各类RBD突变体结合ACE2的强度和概率
作者进一步采用基于原子力显微镜的单细胞力谱技术(Atomic force microscopy-based single cell force spectroscopy, AFM-SCFS)在单个细胞层次测量各类RBD蛋白突变体在活细胞表面与ACE2的结合强度。实验利用高效的天冬酰胺连接酶OaAEP1酶连的方法将不同的RBD蛋白特异性的固定在AFM的针尖上,通过针尖移动接触和捕获细胞表面的ACE2,从而精准的测量RBD-ACE2蛋白复合物间的相互作用力。通过测量作者发现单个N501Y突变和三突变(N501Y、K417N和E484K)蛋白与ACE2的结合力都约为60 pN。相比于野生型蛋白(50 pN),其结合力提高了约15%。同时在相同条件下测量了各类RBD与ACE2的结合概率,两种突变体与ACE2的结合概率(约10%)也明显大于野生型RBD蛋白(3%)。通过该单细胞实验揭示了两种突变体都具有更高的结合力和结合概率。

图3. 拉伸分子动力学模拟揭示各类RBD-ACE2复合物相互作用的结构细节
最后文章对RBD-ACE2复合物进行了拉伸分子动力学模拟(SMD),从原子水平揭示了复合物相互作用的结构细节。通过计算机模拟发现RBD蛋白N501Y的突变与ACE2上的Y41和K353氨基酸,分别形成了稳定的π-π和阳离子-π相互作用,从而加强了它们间的相互作用。综上所述,这项工作发现了新冠病毒变异株中RBD的N501Y突变导致其与人体受体细胞上ACE2蛋白的结合强度和概率都大为提高,是这些变异株具有更高传播率的重要原因之一。同时该工作也揭示了RBD区域的关键氨基酸突变是导致新冠病毒变异株具有更强感染率的重要原因之一。我们必须对该蛋白区域的氨基酸突变保持警惕和监控,从而更好的预防和应对将来可能出现的更具有危害性的新冠病毒变异株。
相关研究成果以“N501Y Mutation of Spike Protein in SARS-CoV-2 Strengthens its Binding to Receptor ACE2”为题在线发表在国际著名期刊eLife上(https://elifesciences.org/articles/69091)。凯发k8官网化学化工学院2018级博士生田芳与生命科学学院童贝为本文的共同第一作者。此项研究得到了配位化学国家重点实验室、凯发k8官网化学和生物医药创新研究院(ChemBIC)和凯发k8官网高性能计算中心的大力支持,也得到了多项国家自然科学基金和江苏省自然科学基金等经费的支持。
郑鹏课题组主要利用以原子力显微镜为仪器的单分子和单细胞力谱技术研究蛋白折叠、金属结合对蛋白的调控和蛋白(配体)与蛋白(受体)间的相互作用。近期他们发展了利用酶法连接和点击化学结合的方法进行蛋白质分子的特异性固定和偶联(Nat.Commun. 2019,10,2775; CCS Chem. 2020,3,841),从而实现了单分子层次下蛋白自身强度和蛋白间互作的精准测量,特别是对蛋白内金属配位键强度的准确测量和规律揭示(Research 2021, 9756945; JPCL 2021,12,3860)。近年来,他们将该方法应用到免疫学和病毒黏附研究中关键的蛋白质机器中,同时结合分子动力学模拟技术,希望有更大的发现。